Cabinet dentaire du Dr Catherine GIORIO
Chirurgien-Dentiste à THIONVILLE
Accueil
Le cabinet
Plan d'accès
Cas cliniques
Publications
Dentisterie esthétique
Parodontologie
Implantologie
Gouttières-sur-mesure - protège-dents
Traitement des troubles respiratoires du sommeil
Questionnaire pré-RDV
Contact
36 Avenue Clémenceau, 57100 THIONVILLE
+33 3 82 84 67 41
Accueil
Le cabinet
Plan d'accès
Cas cliniques
Publications
Dentisterie esthétique
Parodontologie
Implantologie
Gouttières-sur-mesure - protège-dents
Traitement des troubles respiratoires du sommeil
Questionnaire pré-RDV
Contact
Cabinet dentaire du Dr Catherine GIORIO
Chirurgien-Dentiste à THIONVILLE
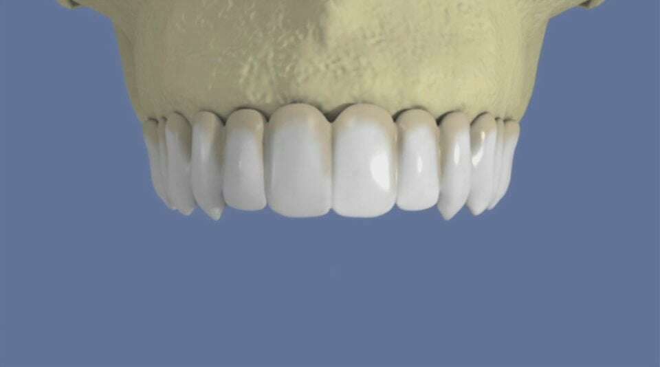
Maxillaire : bridge vissé sans fausse gencive
Vidéos 3D
Partager
Twitter
Partager
Partager
Envoyer
Copier
Rechercher dans le blog Blog
À la une
(3)
Informations pratiques
(8)
L'équipement du cabinet dentaire
(9)
L'orthodontie
(9)
Les choix esthétiques
(4)
Les dents chez l'adulte
(10)
Les dents de l’enfance à l’adolescence
(16)
Les dents et la santé
(20)
Les gencives
(9)
Les implants
(5)
Les pathologies bucco-dentaires
(20)
Les prothèses
(25)
Omnipratique
(158)
Prendre soin des dents
(18)
Publications
(3)
Fiches conseils
(113)
Vidéos 3D
(46)
Cabinet dentaire du Dr Catherine GIORIO
36 Avenue Clémenceau
57100
THIONVILLE
+33382846741
Politique de confidentialité et charte cookie
Mentions légales
Conditions Générales Utilisation
Charte déontologique
Ordre national
Annuaires chirurgiens dentistes
Honoraire & remboursement
Hygiène & Asepsie
Rechercher
Rechercher dans le blog Blog
Création par
Connexion
Vidéo en cours de lecture